

Tomografía
CBCT VET
Sistema de Tomografía de Campo abierto
Imágenes intraoperatorias en 360° con máxima estabilidad y precisión.
El CBCT VET – Sistema de Tomografía de Campo Abierto está diseñado para ofrecer imágenes intraoperatorias avanzadas con rotación libre de 360°, visualización multifase y un amplio campo de visión ideal para cirugías complejas.
Su arco en C ágil, mesa exploratoria de fibra de carbono y panel de control de operación rápida permiten un trabajo fluido durante procedimientos quirúrgicos.
Además, integra la innovadora tecnología CT-AIR de sincronización respiratoria, que elimina artefactos por movimiento y garantiza imágenes más claras y estables.Ofrece una salida potente y estable que garantiza radiografías claras y consistentes en cualquier entorno.
Ventajas CBCT VET Sistema de Tomografía de Campo abierto
Rotación de 360°
Permite obtener imágenes en cualquier ángulo, reduciendo puntos ciegos durante cirugías.
Campo visión amplio
Analiza cambios en lesiones con capturas continuas y visualización más completa.
Mesa de fibra de carbono
De grabación y gestión, facilitando documentación y seguimiento clínico.
Sincronización respiratoria
Elimina los artefactos respiratorios para obtener imágenes más claras, estables y precisas en cada estudio.
Tecnología 360° que eleva el nivel de tu diagnóstico
Tecnología Integrada
El CBCT VET – Sistema de Tomografía de Campo Abierto redefine la imagen intraoperatoria gracias a su arco en C de rotación libre, que permite obtener series completas de tomografía en 360° sin necesidad de reposicionar al paciente.
Esta capacidad multifase facilita el análisis detallado de lesiones, cambios vasculares y estructuras anatómicas en diferentes momentos del procedimiento, brindando mayor seguridad al cirujano. El diseño de campo abierto mejora el acceso, la movilidad y la ergonomía durante intervenciones complejas.
Diseño Inteligente
La incorporación de CT-AIR, una unidad de sincronización respiratoria inteligente, elimina los artefactos generados por la respiración del paciente, garantizando imágenes más nítidas y diagnósticos más confiables en tiempo real.
Su mesa de fibra de carbono con ajuste multiángulo y bloqueo automático permite posicionar con precisión al paciente con un solo toque, mientras que su panel de control optimiza el flujo de trabajo quirúrgico. Con un campo de visión ampliado, el CBCT VET – Sistema de Tomografía de Campo Abierto aporta claridad, estabilidad y eficiencia en procedimientos de alta exigencia.
Especificaciones Técnicas
Powered By EmbedPress
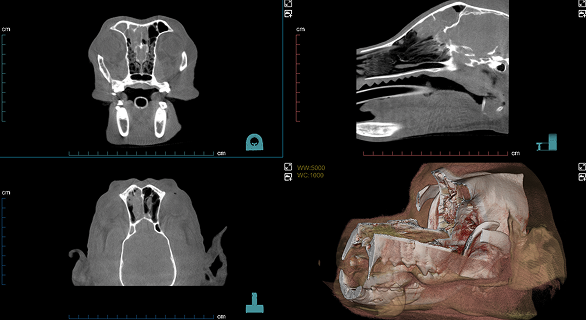
Imágenes Clínicas
Productos Relacionados
En Internacional Vet, encontrarás sistemas de tomografía veterinaria de última generación que ofrecen imágenes avanzadas en 3D para diagnósticos más precisos, seguros y completos.


















