



Ecografía
MyLab™ FOX
Sistema de ecografía veterinaria multidisciplinar de alta precisión.
Hábil, veloz e inteligente por naturaleza, el zorro inspira la esencia del MyLab™FOX, un sistema de ecografía veterinaria multidisciplinar diseñado para adaptarse con precisión a cualquier entorno clínico.
Con su tecnología avanzada, interfaz intuitiva y flujo de trabajo optimizado, el MyLab™FOX ofrece imágenes de alta resolución y diagnósticos confiables en una amplia variedad de especies y aplicaciones veterinarias.
Este equipo de ecografía veterinaria combina potencia, versatilidad y rapidez, convirtiéndose en un aliado indispensable para los profesionales que buscan eficiencia, exactitud y rendimiento en cada examen ecográfico.
Ventajas MyLab™ FOX
Diseño para veterinarios
Flujo de trabajo eficiente que se ajusta a tu rutina y mejora la productividad diaria.
Multidisciplinar e inteligente
Solución completa que se adapta a distintas especialidades y necesidades clínicas.
Productividad
Optimiza tu trabajo con una interfaz intuitiva y un motor potente que agiliza cada examen.
Seguridad diagnóstica
Resultados rápidos, precisos y confiables para diagnósticos veterinarios seguros.
Tecnología que redefine el ultrasonido veterinario
Precisión en el diagnóstico
Exactitud en cada imagen.
Las sondas de ecografía veterinaria del MyLab™FOX representan una nueva generación tecnológica que garantiza imágenes detalladas y diagnósticos precisos en todas las aplicaciones clínicas.
Gracias a la selección rápida de sondas y a las configuraciones predefinidas optimizadas para uso veterinario, el examen se inicia con un solo clic, mejorando la eficiencia y la calidad en cada estudio.
Soluciones de conectividad
El MyLab™FOX ofrece amplias funciones de gestión y revisión de exámenes veterinarios a través de MyLab™Desk VET, brindando total flexibilidad desde su portátil.
Con MyLab™Share, compartir imágenes y vídeos ecográficos es rápido y seguro, facilitando la colaboración, enseñanza y formación a distancia entre profesionales veterinarios.
Especificaciones Técnicas
Powered By EmbedPress
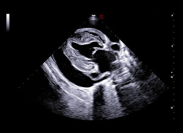
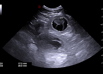
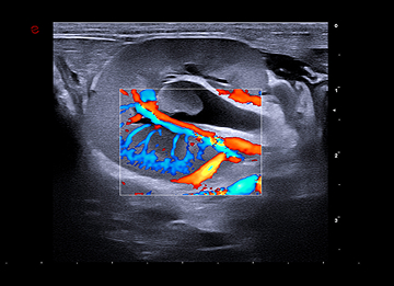
Imágenes Clínicas
Sondas Compatibles
En Internacional Vet, llevamos la mejor tecnología de ultrasonido directamente a tu clínica.
Equipos diseñados para todas las especies con imágenes nítidas, portabilidad inteligente y un flujo de trabajo clínico optimizado.
